Logo COMAV
Instituto de Conservación y Mejora de la Agrodiversidad Valenciana (COMAV)

Grupo de Biología Celular

Logo UPV  
 

Servicios

Producción líneas dobles haploides
Servicio de microscopía

Servicio de microscopía.

En el Servicio de Microscopía ofrecemos a la comunidad científica en general, tanto de organismos públicos de investigación como del sector privado, la posibilidad de realizar estudios microscópicos diagnósticos o de investigación en cualquier tipo de muestra de origen vegetal.

Para ello, contamos con una amplia experiencia en la aplicación de un extenso abanico de técnicas microscópicas, así como con el equipamiento necesario para aplicarlas a cualquier tipo de material vegetal. Entre otras técnicas, trabajamos con:

  • Microscopía óptica (histología)
  • Microscopía de fluorescencia
  • Microscopía láser confocal
  • Microscopía electrónica de transmisión
  • Microscopía electrónica de barrido
  • Procesado de muestras a baja temperatura (criotécnicas) para microscopía electrónica, incluyendo criofijación por alta presión (HPF) y criosustitución (FS)
  • Tinciones histoquímicas y citoquímicas
  • Inmunofluorescencia
  • Inmunolocalización y cuantificación de la señal de inmunomarcado
  • Hibridación in situ
  • Reconstrucción tridimensional para microscopía confocal y electrónica de transmisión

Contacto.
José María Seguí Simarro.
e-mail: seguisim@btc.upv.es
Teléfono: (+34)963879047

Ejemplos de nuestros trabajos

Estudio histológico de la formación de brotes adventicios a partir de callos procedentes de cormos de azafrán.

Estudio histológico de la formación de brotes adventicios a partir de callos procedentes de cormos de azafrán (Crocus sativus). A: Sección de una región no proliferante del callo. B: Región proliferante (pr) adyacente a un primordio foliar (lp). C: Detalle de la región proliferante. Referencia.

Subir

Muestras de polen de tomate 1. Muestras de polen de tomate 2.

Muestras de polen de tomate (Solanum lycopersicum) observados mediante microscopía electrónica de barrido y aplicación de pseudocolor por software.

Subir

Microscopía electrónica de transmisión.

Detección ultraestructural (microscopía electrónica de transmisión) de viroides del virus de las manchas necróticas del melón (MNSV) en muestras de melón (Cucumis melo) fijadas químicamente.

Subir

Microscopía óptica de contraste de fase y de fluorescencia.

Microsporas embriogénicas (A, B) y embriones derivados de microsporas (C, D) de berenjena (Solanum melongena) observados en microscopía óptica de contraste de fase (A, C) y de fluorescencia tras tinción del ADN con DAPI (B, D).

Subir

Embrión globular derivado de microsporas de berenjena (Solanum melongena) teñido con azul de toluidina (A) para la tinción de proteínas y ácidos nucleicos y con yodo-yoduro potásico (IIK, B) para la detección de almidón. Embrión en transición teñido con azul de toluidina (C) y con IIK (D); callo teñido con azul de toluidina (E) y con IIK (F). Las cabeza de flecha señalan los gránulos de almidón.

Subir

Semilla de colza.

Semilla de colza (Brassica napus) observada en microscopía óptica de campo claro (A) y teñidas con Negro Sudán para la detección de lípidos (B).

Subir

Modelo tridimensional de un volumen subcelular de una microspora embriogénica de colza (Brassica napus) desarrollado a partir de imágenes seriadas de muestras criofijadas por alta presión, criosustituidas, y observadas en un microscopio electrónico de barrido con emisión de campo (FESEM) equipado con un cañón de iones de galio (FIB). A: Volumen subcelular modelado. B: Modelo excluyendo todas las estructuras celulares excepto los plastidios (pl). Los diferentes tipos de plastidios se modelan en diferentes colores: convencionales (verde claro), perfiles abiertos que envuelven el citoplasma (verde oscuro) y perfiles cerrados (amarillo) con el citoplasma envuelto (blanco). C: Plastidio convencional, de forma redonda. D: Plastidio en forma de disco con una ligera depresión central (flecha). E: Plastidio que comienza a engullir el citoplasma. La flecha apunta a una depresión profunda que crea un bolsillo citoplásmico dentro del plastidio. F, F ': Plastidio que contiene citoplasma, donde el citoplasma interno está conectado con el citoplasma externo solo por un canal estrecho que termina en un pequeño poro en la superficie del plastidio. F ': Giro de 90° de este plastidio, para una visualización clara del canal estrecho. Las flechas apuntan al poro en F y al canal estrecho en F '. G: Plastidio redondo (amarillo) con el contenido citoplásmico (blanco) completamente aislado del citoplasma externo. cw, pared celular; m, mitocondria; n, núcleo. Referencia.

Subir

Localización ultraestructural de la proteína L1 del virus del papiloma humano.

Localización ultraestructural de la proteína L1 del virus del papiloma humano en cloroplastos de hojas de tabaco modificadas genéticamente.

Subir

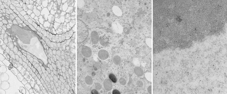
Ultraestructura de muestras de sacos embrionarios (izquierda), y citoplasma (centro) y núcleo (derecha) de embriones de colza (Brassica napus) criofijadas por fijación por alta presión (HPF), procesadas por criosustitución, incluidas en resina epoxi, y observadas mediante microscopía electrónica de transmisión.

Subir

Tricoma (rojo) y polen (verde) de berenjena.

Tricoma (rojo) y polen (verde) de berenjena (Solanum melongena) observados mediante microscopía electrónica de barrido y aplicación de pseudocolor por software.

Subir

Muestras de polen de tomate 1. Muestras de polen de tomate 2.

Interfase: G1

Interfase: G2

Muestras de polen de tomate 1. Muestras de polen de tomate 2.

Mitosis: profase

Mitosis: telofase + citocinésis

Reconstrucción tridimensional de células meristemáticas de Arabidopsis thaliana en distintos momentos del ciclo celular. Referencia 1. Referencia 2. Referencia 3.

Subir